Apogee 1000 Pro

 

Apogee 1000 Pro

Apogee 1000 Pro integrates the cutting-edge technologies to enhance functionality across a wide range of application scenarios. Featuring Realview+ platform, this laptop ultrasound system presents excellent images wherever you go.

Features

Compact design
· 15-inch HD screen
· Left and right rotatable screen
· Detachable lithium battery
· Compatible with the height-adjustable trolley

Enhanced Image Quality with Realview+ Platform
· Pixel Echo Zone presents image at high frame rate
· Tailored Filter enhance S/N ratio to achieve higher image contrast
· S-Beam provides high fidelity image and avoids image distortion
· Raw Data Processing enables flexible image adjustment

User-centered Workflow
· Real-time Worksheet Display
· Measurement Assistant
· Report Template Customization
· Exam Type Personalization
· Annotation Customization
· Background Data Transmission
· Standby Mode
· Data Protection Mechanism

Click on product images to enlarge

  • Intro1
  • Intro2
  • Intro3
  • Intro4
  • Intro5
  • Intro6

Functions

Paediatrics Applications
· Paediatric Craniocerebral Standardized Solution automatically identifies and displays the 12 standard cranial sections from both sagittal and coronal plane through volume data using a micro-convex volumetric probe.

· Auto Hip provides reliable evaluation of hip dysplasia by automatic identification of bone and cartilage baseline and top line, along with measurement of α and β angles.

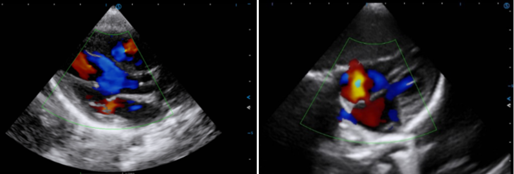
· Support paediatric cardiac examinations for all age groups with high-quality probes including phased array probe P5 & P8, micro-convex probe C6 / R11, pediatric TEE probe

 

Cardiology Applications
· Tissue Doppler Imaging Quantitative Analysis (TDI QA) supports quantitative analysis for myocardial motion with multiple sampling points

 

· Auto SG automatically traces and evaluates global and segmental myocardial motion, providing quantitative results for LV GLS and WMSI in a bull’s-eye diagram and curves for assessment.

 

· Stress Echo assists in evaluating how coronary arteries respond to the stress by comparing myocardial motion at rest and under stress.

 

ICU Applications
· Auto Velocity Time Integral (Auto VTI) for LV outflow tract enables real-time evaluation of organ perfusion through essential hemodynamic parameters such as SV, CO, and VTI.

 

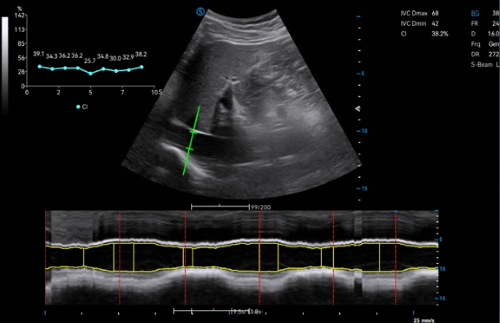
· Auto Inferior Vena Cava (Auto IVC) is a standardized measurement for quick analysis of right atrial pressure and fluid status in ICU to determine abnormal blood volume and cardiac stress. It automatically detects, tracks and measures the IVC for rapid diagnosis.


Gallery

Click on images to enlarge

  • Clin1
  • Clin2
  • Clin3
  • Clin4
  • Clin5
  • Clin6
  • Clin7
  • Clin8