Apogee 6500
- Details
- Category: Color Doppler

High-end ultrasound system revolutionizes clinical decision making
Endowed with RealView+, Apogee 6500 is capable of supporting next-level imaging experience and solutions to meet the diagnostic challenge. RealView+ embodies enhanced scanning efficiency and user-oriented commitment. Advanced imaging technology is employed to present significantly updated image quality at faster response speed. Streamlined workflow improves manipulation comfort. The Apogee 6500 is an affordable ultrasound machine packed full of advanced image optimization features that can genuinely compete with the brands – GE, Philips, etc.
Features
RealView+
Applied with innovated algorithm, RealView+ embodies enhanced scanning efficiency and user-oriented commitment. The platform empowers next-level imaging experience and solutions to satisfy diagnostic demands.
Pixel Echo Zone (PEZ)
During wide band imaging processing, the system automatically collects echo information by larger processing zone to enhance acquisition efficiency and computing speed. Increased image frame rate facilitiesa better and faster diagnostic experience.
Target Focus
The image focus in near and far field requires different signal intensity. This upgraded technology provides automatic compensation in signal transmission to further improves focus accuracy and image uniformity in the entire image area.

Weighted Fusion(W-Fusion)
Dynamic analysis of Doppler echo spectrum enables the system to capture effective signal in both low and high frequency range. Precise control and fusion of these signals contribute to optimal image with better combination of resolution and penetration.

Tailored Filter
Invalid signals during transmission disturb imaging process inevitably. To reduce this impact, valid signals need to be strengthened. This technology filters signals in overall frequency band at different depth. Tailored processing will be made for enhancing valid signal and suppressing invalid signals to increase S/N ratio for a better image contrast.

Echo Tune
Real-time intellectual analysis during wide band beam forming enables self-tuning in energy emitting and receiving. The image uniformity will be enhanced without compromising resolution of focus area.

Functions
Shear Wave Elastography
SWE (Shear Wave Elastography) is an advanced integrated measurement tool which enables more precise quantification of tissue stiffness. Non-invasive operation serves as an ideal way for fibrosis evaluation

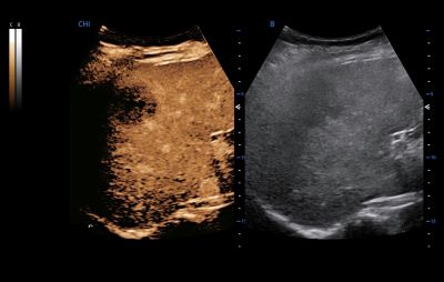
CHI
Fewer contrast agents needed, SIUI’s Contrast Harmonic Imaging delivers uniformed image quality and longer duration. Common probes are enough to obtain strong penetration with CHI.

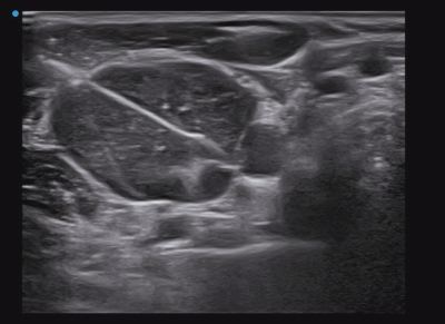
Needle Enhancement
Needle enhancement enhances visualization of the needle location, offering the reliability and confidence to the clinicians and reducing the risk of needle biopsy

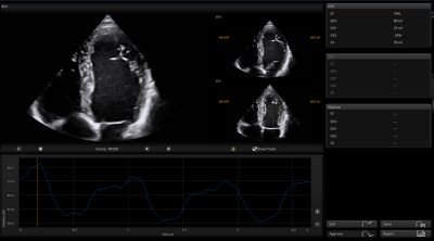
Auto EF
Cardiac function evaluation requires accuracy and speed as various calculations needs to be made. Automatic tracking and calculating means enhanced efficiency in practice. Auto EF, based on speckle tracking technology, acquire 2D EF and volumes within streamline workflow.

Auto SG
Global and regional myocardial function can be evaluated by Auto SG, an automatic quantitative assessment tool. Segmental strain, 17-segment and bull's eye analysis are provided for comprehensive cardiac function analysis.
Auto OB
With one touch, Auto OB selects the best section image and automatically performs various measurements including auto HC, BPD, OFD, AC, FL. It changes traditional obstetric diagnosis into an easier and faster experience and generates far more accurate diagnostic results.

Lumi 4D
Lumi 4D is an image rendering processing technology to present more lifelike 4D image with higher resolution. Utilizing light source with adjustable angle and position and the shadow therefore makes the image a much stronger three-dimensional sense.

Overall Efficient Workflow
Allocate your precious time in image and diagnosis rather than searching and switching from items and buttons. The efficient workflow is aimed at improving your manipulation experience. Highly customized calculation and measurement tools are available with fewer steps needed.
S-station
Personalized editing tools and report templates ease your work.

S-view
Simultaneous comparison among images and cines assists your diagnosis.

S-helper
embedded teaching software with 3D animation facilitates your practices.
